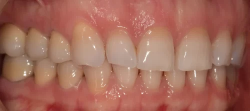
Mosoly restauráció esztétikus beavatkozással
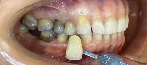
Tímea, kiterjedt amalgám tömések miatt elszíneződött fogait kerámia leplezésű cirkónium koronákkal láttuk el.
A metszőfogak közötti rést kompozit tömőanyaggal zártuk a páciens kérésére.
Az eredmény önmagáért beszél!
Kezelési adatok
- Kezelés: Esztétikai kezelés
- Helyszín: Budapest, Szent Lukács SPA Dental
Pácienseink mesélnek
Mit mondanak pácienseink fogászati kezeléseikről, a fogorvosaikról és asszisztenseikről, valamint a rendelőnkről?

Szakmailag profi csapat, mindig jó a hangulat. Öröm hozzájuk járni. 🙂

Évek óta látogatom ezt a helyet. Bár most 250 km-re lakom Budapesttől, még mindig hajlandó vagyok felszállni egy vonatra, csak hogy itt kezeltessem a fogaimat.

Nagyra értékelem, hogy a profizmus mellett figyelmes, körültekintő és kedves kommunikációra is van energia. Köszönöm a törődést…

Szeretném megköszönni Dr. Nagy Róbert precíz és finom munkáját – a sebészet igazi művésze!
Már közel 5 éve járok Dr. Ruszin Tamáshoz a Szent Lukács Spa Dental fogászatra. Előtte több fogorvosi rendelőben jártam már konzultáción, vizsgálaton, mivel egyrészt egy régebbi gyökércsúcs rezekcióm kapcsán problémám volt az egyik fogammal, másrészt szerettem volna fogszabályozás kezelésen is részt venni.

Nagyon szépen köszönöm a Ruszin doktor úr szakszerű munkáját és félelmeimet megértő empatikus segítségét. Külön köszönet a doktor úr munkáját segítő hölgyeknek is. Szívből ajánlom azoknak az embereknek a Szent Lukács fogászatot, akik szép mosolyt szeretnének.
Foglaljon időpontot nálunk!
Munkatársaink örömmel várják megkeresését! Foglaló felületünkön elég ha megadja az Önnek leginkább alkalmas időpontot, vagy időpontokat és telefonon, vagy emailben tájékoztatjuk a foglalás részleteivel kapcsolatban.
Lehetősége van közvetlenül telefonon is időpontot foglalnia nálunk a (+36) 30 7800 454 telefonszámot tárcsázva, vagy email üzenetben a info@lukacsspadental.hu címre küldött üzenettel. Látogatási szabályokról itt olvashat bővebben.




