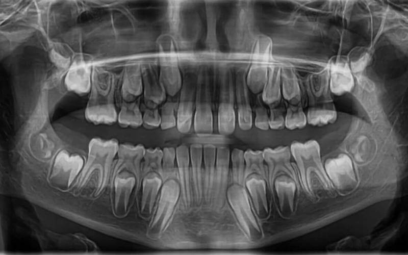
Panorámaröntgen képet nem szükséges minden fogászati kezelés előtt készíteni. Általában akkor javasoljuk pácienseinknek, ha a pontos diagnózishoz illetve a kezelés precíz megtervezéséhez átfogó képet kell kapjunk az állkapcsokról, a fogakról és a környező szájüregi struktúrákról.
Panorámaröntgen és fogászati problámák
Bölcsességfogak és szájsebészet
A bölcsességfogak állapotának felmérésekor is alkalmazzuk, például annak megállapítására, hogy vannak-e elakadt fogak, azok közel vannak-e az idegekhez, illetve torlódást okoznak-e, vagy okozhatnak-e.
Fogbeültetés
Panoráma röntgenfelvételre van szükségünk fogászati implantátum tervezéséhez, például az állkapocs csont állapotának, magasságának, vastagságának, valamint a sinus/idegek elhelyezkedésének feltérképezése értékelése miatt.
Fogszabályozás
Panorámaröntgenre van szükség fogszabályozássalkapcsolatos beavatkozások esetében is, elsősorban az állkapocs növekedésének, valamint a fogak helyzetének és a hiányzó, illetve többlet fogak értékelése érdekében.
Parodontológiai és egyéb kezelések
Egyéb éllkapocs problémák esetében is szükség lehet panoráma röntgenfelvételre, így a feltételezett törések, ciszták, daganatok vagy csontbetegségek diagnosztizálása/kizárása érdekében.
Gyakoran indokol panoráma röntgenfelvételt komplex fogászati probléma is, például kiterjedt fogszuvasodás, bizonyos ínybetegség, amelyek csontvesztést okoznak, vagy ha egyszerre több fogat kell eltávolítani a kezeléshez pl. fogászati implantációhoz stb.
Gyermekfogászati vizsgálatok és kezelések
Előfordulhat, hogy rutin jellegű ellenőrzéseknál is szükség van panoráma röntgenfelvételre, például gyermekek/serdülők/fiatal felnőttek állandó fogainak vagy a beékelődött fogak fejlődésének ellenőrzése miatt.

Panorámaröntgenre tehát akkor van szükség, amikor a fogorvosnak átfogó képet kell kapnia a fogak állapotáról illetve a fogak környezetéről (állkapcsokról, kapcsolódó struktúrákról). Panorámaröntgent főleg műtéti- és szájsebészeti beavatkozások, fogszabályozás, fogászati implantáció vagy más komplex fogászati kezelések indokolhatnak.
Fogászati problémái vannak?
Előfordulhat, hogy még panorámaröntgenre sincs szükség a probléma megoldásához. 🙂 Várjuk Önt budapest központjában található rendelőnkben. Lépjen kapcsolatba velünk itt, vagy keressen minket telefonon a (+36) 30 78 00 454-es számon, illetve emailben az info@lukacsspadental.hu címen.








